牙坏了图片,牙齿损坏的警示与护理之道
最近我发现了一个超级有趣的话题,那就是“牙坏了图片”。你是不是也有过这样的经历,突然间发现牙齿出了问题,然后上网一搜,哇塞,原来这么多人都有类似的困扰!今天,我就要带你一起探索这个神秘的世界,看看那些让人哭笑不得的牙坏了图片,感受一下牙齿问题的真实写照。
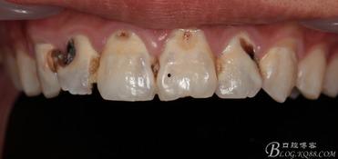
牙齿的“伤痕累累”

首先,让我们来看看牙齿的“伤痕累累”吧。想象一颗原本洁白如玉的牙齿,突然间变得黑乎乎的,甚至还有洞洞,那画面简直让人心疼。这不就是传说中的“蛀牙”吗?网上有很多这样的图片,让人看了不禁感叹:这牙齿真是受了不少罪啊!
比如,这张图片上的牙齿,表面布满了黑洞洞,就像一颗颗黑色的弹孔,让人看了都觉得疼。还有这张,牙齿边缘已经磨损得厉害,就像被刀割过一样,真是让人心疼。这些图片告诉我们,保护牙齿真的很重要,否则牙齿就会变成这样。
牙齿的“奇形怪状”

除了“伤痕累累”,牙齿还有各种各样的“奇形怪状”。有的牙齿长得歪歪扭扭,就像小孩子的手指一样;有的牙齿竟然长出了两个尖尖的角,看起来就像是古代的武器;还有的牙齿竟然长出了小尾巴,真是让人哭笑不得。
比如,这张图片上的牙齿,长得就像一个小鸟的喙,尖尖的,让人看了都觉得好奇。还有这张,牙齿竟然长出了两个小翅膀,看起来就像是童话故事里的角色。这些奇形怪状的牙齿,让人不禁想问:这牙齿是怎么长成这样的?
牙齿的“创意修复”

当然,牙齿坏了并不可怕,关键是要找到合适的修复方法。网上有很多创意十足的牙齿修复图片,让人看了不禁感叹:原来牙齿还可以这样修复!
比如,这张图片上的牙齿,被修复得就像一颗宝石,闪闪发光。还有这张,牙齿被修复成了卡通形象,看起来既可爱又有趣。这些创意修复的图片,让人看到了牙齿修复的无限可能。
牙齿的“日常护理”
我们来聊聊牙齿的日常护理。牙齿坏了,很大程度上是因为我们没有好好护理。所以,要想拥有一口健康的牙齿,日常护理可是非常重要的。
比如,每天早晚刷牙,使用牙线清理牙缝,定期去牙医那里检查,这些都是保护牙齿的好方法。网上有很多关于牙齿护理的图片,比如正确的刷牙方法、如何使用牙线等,这些图片都非常有用。
牙坏了图片的世界真是丰富多彩,既有让人心疼的“伤痕累累”,也有让人捧腹大笑的“奇形怪状”。通过这些图片,我们不仅看到了牙齿问题的严重性,也学到了很多关于牙齿护理的知识。所以,从现在开始,让我们一起呵护我们的牙齿,让它们永远保持健康美丽吧!
您可以还会对下面的文章感兴趣:
暂无相关文章